You are browsing the Hong Kong website, Regulated by Hong Kong SFC (CE number: BJA907). Investment is risky and you must be cautious when entering the market.
康宁杰瑞制药-B(9966.HK):双抗临床数据优异,产品管线扩充竞争力凸显
格隆汇 02-10 09:29

近日,第四批带量采购拟中选结果公示,共有152家企业参加投标,118家拟中选,拟中选品种158个。从价格来看,平均降幅52%,最高降幅96%,远低于市场预期价格,传统药企的利润空间大幅缩减。

从长期趋势来看,集采常态化的推进已成定局,创新药企业成为市场上更具确定性的标的,强研发能力成为了创新药企之间的核心竞争力。寻找研发能力出众的企业成为了市场热衷的投资思路,因此康宁杰瑞制药-B(9966.HK)近期研发上的一系列积极进展吸引了广泛关注。

 

创新技术平台实力强劲,积极拓展ADC领域

 

康宁杰瑞制药作为一家专注于研发、生产和商业化创新抗肿瘤生物大分子药物的生物制药公司,在双特异性抗体及蛋白质工程方面,拥有全面整合的发现、研发和制造平台。公司产品管线包括具有自主知识产权的、高度差异化的14种以双抗为主的抗肿瘤候选药物,1种自体免疫的融合蛋白和1种Covid-19的多功能抗体,其中4个产品在中国、美国、日本、澳大利亚多地已进入临床阶段,2021年预计三个新药申报IND。并且,恩沃利单抗注射液(KN035)上市申请已获国家药品监督管理局(NMPA)正式受理并纳入优先审评,即将进入收获期。

图表四:康宁杰瑞产品管线

数据来源:公司资料,格隆汇整理

从产品管线发展过程来看,康宁杰瑞制药的产品管线从去年的9个产品(8个抗肿瘤+1新冠)增加到了现在的16个产品,最新研发了拥有全球权益的下一代研发组合JSKN-001、JSKN-002、JSKN-004 、JSKN-005、 JSKN-006,整个技术平台竞争力得到大幅提升。并且在原有的单抗及双抗产品之外,战略性地布局了ADC和免疫调节剂抗体偶联药物领域,新增了针对HER2靶点的抗体偶联药物(ADC) JSKN-003。

图表五:康宁杰瑞下一代研发组合

数据来源:公司资料,格隆汇整理

此外,公司还拥有异二聚体及混合抗体等多个具有自主知识产权的技术平台,具备符合中国、美国和欧盟cGMP标准的大规模生产能力。2020年7月公司的新生产基地1期生产线取得药品生产许可证,总设计产能达到30000L。公司还通过了包括欧盟QP在内多次审计的完整的质量体系,产品上市后的商业化进程将会得益于这些平台及技术优势大大加快。

 

KN046临床效能显著,产品竞争潜力巨大

 

康宁杰瑞制药的核心产品KN046是公司自主研发的全球首创重组人源化PD-L1/CTLA-4双特异性抗体。

图表一:KN046的临床发展计划

数据来源:公司资料,格隆汇整理

目前,KN046在澳大利亚和中国已开展覆盖非小细胞肺癌、三阴乳腺癌、食管鳞癌、肝癌、胰腺癌等10余种肿瘤的近20项不同阶段临床试验,试验结果显示优异的产品效能。同时,美国FDA基于在澳大利亚和中国取得的临床试验结果,批准KN046在美国直接进入Ⅱ期临床试验,并于2020年9月授予KN046用于治疗胸腺上皮肿瘤的孤儿药资格。现阶段KN046已经有两个注册临床试验正在进行中。基于二期临床的结果,2021年计划启动2-3个注册临床研究。

并且,KN046于1月在WCLC 2020 上公布了用于晚期非小细胞肺癌(NSCLC)患者的Ⅱ期临床研究数据。WCLC 2020是汇聚全世界肺癌及胸部肿瘤学领域临床医生、研究人员及科学家,属于业内的顶尖国际盛会。会上康宁杰瑞制药的KN046作为全球领先的PD-L1/CTLA-4双特异性抗体,研究数据展现出良好的耐受性和安全性,以及无进展生存期(PFS)和总生存期(OS)优势。

2月9号,研究者也在肿瘤资讯上分享了KN046用于晚期胰腺癌的两个入组病例。其中一名患者接受KN046单药后线治疗后,获得长达8个月疾病稳定,肿瘤标志物CA199数值明显呈下降趋势。而标准二线治疗方案nal-IRI(脂质体伊立替康)+5-FU/LV(氟尿嘧啶/亚叶酸)的mPFS(中位无进展生存期)仅为3.1个月。目前,晚期胰腺癌患者二线治疗可选的治疗方案较少,康宁杰瑞KN046的这一临床研究有望让晚期胰腺癌患者获得更优异的治疗选择。

图表二:患者临床进展数据

数据来源:公司资料,格隆汇整理

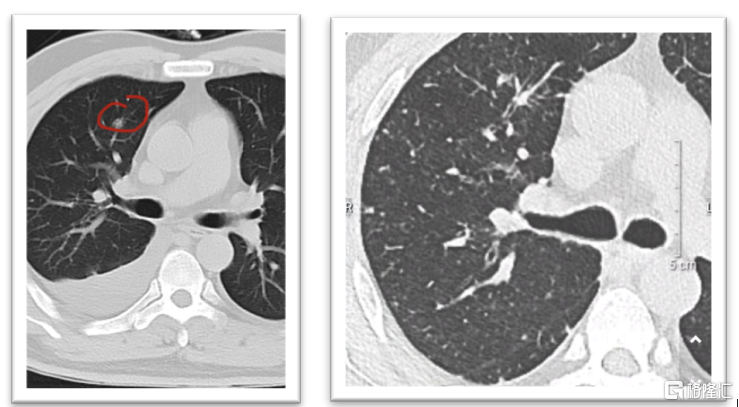
另一名接受临床试验的患者的治疗过程同样非常顺利,治疗全程未发生与药物相关的SAE。治疗期间患者进行了2次肿瘤评估,疗效评价均为PR,且首次肿瘤评估,肺转移灶即消失,展现了KN046联合一线治疗的潜力。

图表三:患者胸部CT平扫对比

数据来源:公司资料,格隆汇整理

 

小结

目前研究者发起的胰腺癌二期临床在快速推进,其结果计划在今年的ASCO发表。

总结来看,无论是KN046在国际学术会议上公布的临床数据,还是研究者分享的晚期胰腺癌入组病例,均充分表现出公司核心产品的差异化优势。公司拥有的高壁垒核心技术也在2021年初使得公司研发管线不断丰富,从9个扩充为17个,布局更多极具市场竞争力的重磅在研产品。

2021年公司的多项注册临床试验将会启动,预计临床数据将在未来的国际学术会议上陆续发布。同时,公司也即将进入新药获批上市的收获期,恩沃利单抗注射液(KN035)预计年内便能获批上市,实现商业化。康宁杰瑞制药作为国内双抗研发企业的领跑者,又积极布局抗体偶联药物领域,2021年的表现值得投资者期待。

Follow us
Find us on Facebook, Twitter , Instagram, and YouTube or frequent updates on all things investing.Have a financial topic you would like to discuss? Head over to the uSMART Community to share your thoughts and insights about the market! Click the picture below to download and explore uSMART app!
Disclaimers
uSmart Securities Limited (“uSmart”) is based on its internal research and public third party information in preparation of this article. Although uSmart uses its best endeavours to ensure the content of this article is accurate, uSmart does not guarantee the accuracy, timeliness or completeness of the information of this article and is not responsible for any views/opinions/comments in this article. Opinions, forecasts and estimations reflect uSmart’s assessment as of the date of this article and are subject to change. uSmart has no obligation to notify you or anyone of any such changes. You must make independent analysis and judgment on any matters involved in this article. uSmart and any directors, officers, employees or agents of uSmart will not be liable for any loss or damage suffered by any person in reliance on any representation or omission in the content of this article. The content of the article is for reference only and does not constitute any offer, solicitation, recommendation, opinion or guarantee of any securities, virtual assets, financial products or instruments. Regulatory authorities may restrict the trading of virtual asset-related ETFs to only investors who meet specified requirements. Any calculations or images in the article are for illustrative purposes only.
Investment involves risks and the value and income from securities may rise or fall. Past performance is not indicative of future performance. Please carefully consider your personal risk tolerance, and consult independent professional advice if necessary.
uSMART
Wealth Growth Made Easy
Open Account